This page looks best with JavaScript enabled

Dermatofibroma Prurito prevenzione

 ·  ☕ 3 min read  ·  ❤️ Selmer O'Reilly
    🏷️

Dermatofibroma Prurito prevenzione

.

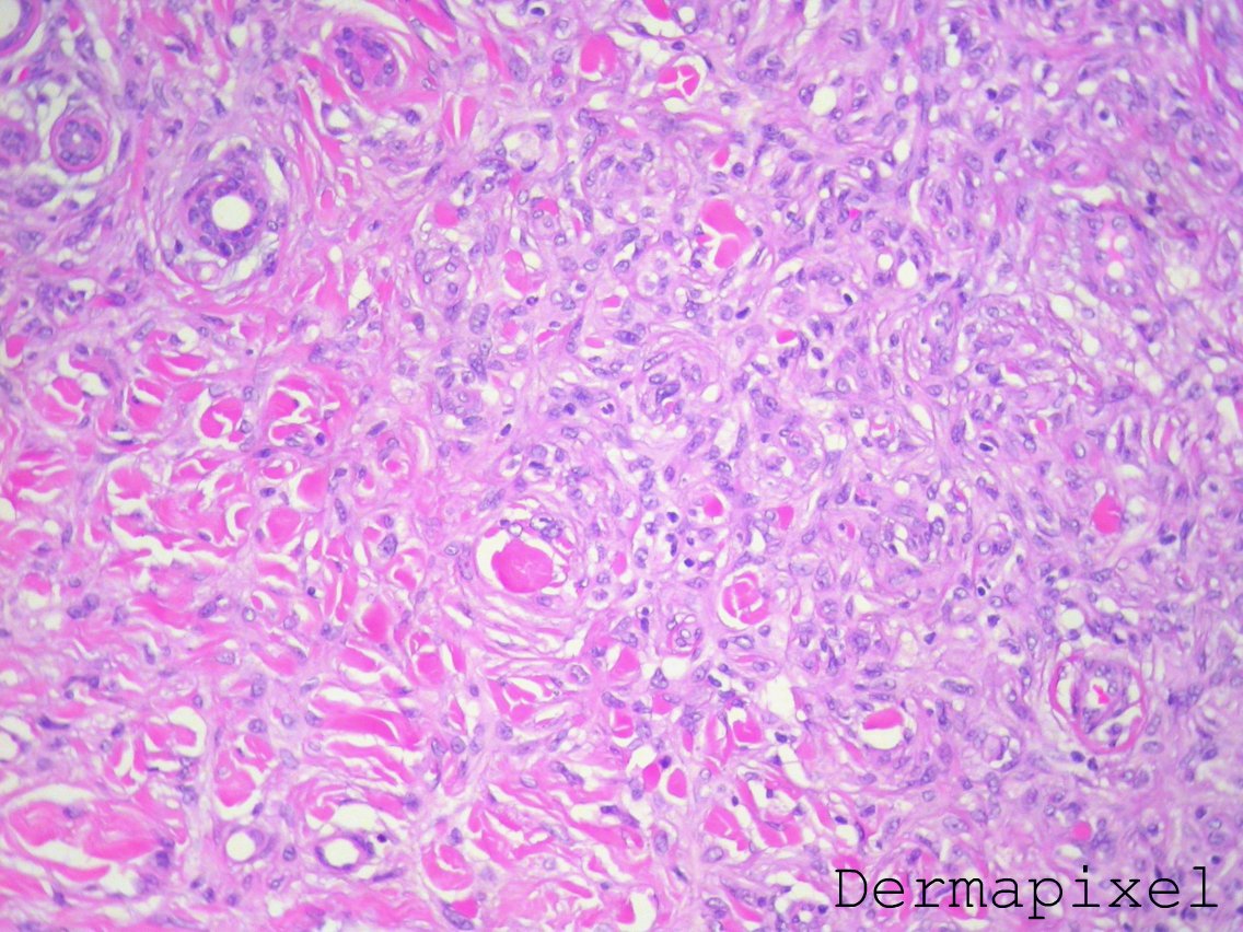
Dermatofibromas are histologically defined by a dermal proliferation composed of spindled fibroblasts and histiocytes arranged in fascicles with intervening entrapped dense hyalinized collagen bundles. Dermatofibromas may also be called benign fibrous histiocytomas.


PPT - URGENCIAS DERMATOLÓGICAS PowerPoint Presentation ...
PPT - URGENCIAS DERMATOLÓGICAS PowerPoint Presentation ... from image1.slideserve.com
Dermatofibroma frequently develops on the extremities. A dermatofibroma (df) is a common, benign tumor composed of fibroblastic and histiocytic cells. Le lesioni vengono talvolta sottoposte a biopsia per escludere una proliferazione melanocitica (p.

Df presents clinically with several different reported variants.

Dermatofibroma, fibrous histiocytoma, histiocytoma cutis, cutaneous fibrous histiocytoma dermatofibroma. La diagnosi di dermatofibroma spesso può essere fatta clinicamente. Dermatofibroma frequently develops on the extremities. A dermatofibroma (df) is a common, benign tumor composed of fibroblastic and histiocytic cells. Le lesioni vengono talvolta sottoposte a biopsia per escludere una proliferazione melanocitica (p. Dr amanda oakley, dermatologist, hamilton, new zealand, 1997. Df presents clinically with several different reported variants. Dermatofibroma (aka benign fibrous histiocytoma) is one of the most common spindle cell lesions in the skin, but they can sometimes be tricky to recognize. Dermatofibroma (superficial benign fibrous histiocytoma) is a common cutaneous nodule of unknown etiology that occurs more often in women. One rare variant is hemosiderotic df (hdf). Dermatofibroma also known as histiocytomas are noncancerous skin growths which are quite common. Dermatofibromas may also be called benign fibrous histiocytomas.

Share on