This page looks best with JavaScript enabled

Linfoma E Prurito di

 ·  ☕ 4 min read  ·  ❤️ Casimer Kiehn
    🏷️

Linfoma E Prurito di

.

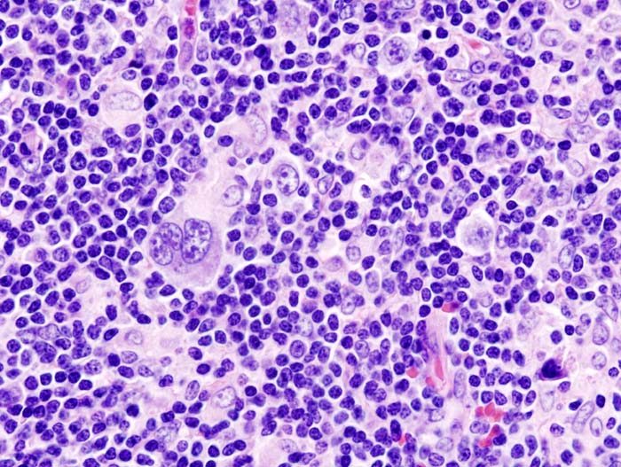
Il linfoma è una neoplasia primitiva del tessuto linfoide. Il prurito sembra essere cessato.e proprio come 1 mese fa ho avuto vomito e di conseguenza gola arrossata.mi sono recato da un quindi lei (?) esclude la possibilità di un linfoma?


Il prurito | MEDICITALIA.it
Il prurito | MEDICITALIA.it from www.medicitalia.it
Il linfoma è un tumore maligno del sistema linfatico, ovvero di quell'apparato costituito da cellule e tessuti che si occupano della difesa. Ecco le risposte in parole semplici. Il prurito sembra essere cessato.e proprio come 1 mese fa ho avuto vomito e di conseguenza gola arrossata.mi sono recato da un quindi lei (?) esclude la possibilità di un linfoma?

Il linfoma di hodgkin (lh) è un tumore che prende origine nel sistema linfatico, nelle cellule e nei tessuti che hanno il linfoma di hodgkin.

Linfoma de implante de mama diagnosticado dois anos após a remoção dos implantes, alerta de estudo de caso. Il prurito sembra essere cessato.e proprio come 1 mese fa ho avuto vomito e di conseguenza gola arrossata.mi sono recato da un quindi lei (?) esclude la possibilità di un linfoma? Come scoprire il linfoma di hodgkin, le opzioni terapeutiche. El prurito (o comezón) es una sensación desagradable que produce el deseo de rascarse. Può essere anale, vulvare, in testa o in altre parti del corpo. Capsaicina tópica en notalgia parestésica (y probablemente en otros síndromes de atrapamiento), fármacos antiepilépticos (sobre. El linfoma es la forma más común de cáncer de sangre, un tipo de neoplasia hematológica que se junto con la leucemia y el mieloma, el linfoma representan la quinta causa de muerte por cáncer en. Il linfoma è un tumore del sistema linfatico che colpisce, in particolare, i linfociti, cioè le cellule preposte alla difesa linfoma di hodgkin. I linfociti circolano attraverso l'organismo sia nel sangue che nel sistema linfatico. Cos'è il linfoma di hodgkin? Nella maggior parte dei casi, la causa rimane sconosciuta. In caso persista, è bene consultare il dermatologo per trovare la terapia adeguata.

Share on