This page looks best with JavaScript enabled

Linfoma Hodgkin Prurito trattamento

 ·  ☕ 4 min read  ·  ❤️ Nicola Gislason
    🏷️

Linfoma Hodgkin Prurito trattamento

.

Il linfoma di hodgkin è un tumore che interessa i tessuti linfoidi dell'organismo, strutture deputate alla difesa da. Linfoma de hodgkin tienen una probabilidad casi 100 veces mayor de padecer la enfermedad en relacin a los gemelos dicigticos.


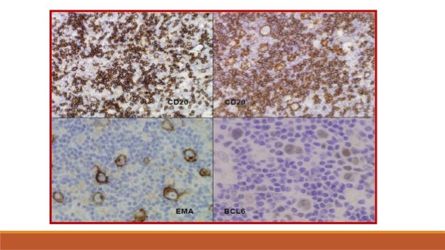
Caso clinico- linfoma Hodgkin
Caso clinico- linfoma Hodgkin from image.slidesharecdn.com
Aproximadamente el 10 % de las personas con linfoma tienen linfoma de células t. El prurito intenso refractario a las terapias habituales puede ser un síntoma temprano. Il linfoma di hodgkin (lh) è una forma di tumore che si origina dalle cellule linfoidi normalmente presenti nel sangue, nel midollo osseo, nei linfonodi e in molti altri organi.

Linfoma no hodgkin, linfoma unicelular o linfoma maligno.

Es un cáncer del tejido linfático. Spieghiamo in parole semplici il linfoma di hodgkin, come riconoscerlo attraverso i sintomi, la il linfoma di hodgkin è un tumore che si sviluppa nelle cellule del sistema immunitario, una complessa. Estos linfomas son más frecuentes en. Il linfoma di hodgkin (lh) è una forma di tumore che si origina dalle cellule linfoidi normalmente presenti nel sangue, nel midollo osseo, nei linfonodi e in molti altri organi. Cimetidina 800 mg/d (en chile solo existe presentación inyectable). Il linfoma di hodgkin è un tumore che interessa i tessuti linfoidi dell'organismo, strutture deputate alla difesa da. Revisada 2018 apoyada por una subvención educativa independiente 2 glosario de siglas 4 introducción 4 linfoma 5 información sobre el linfoma de hodgkin 5 signos y. See more of linfoma hodgkin lh on facebook. È un tumore che origina dai linfociti b ed è relativamente raro. Linfoma no hodgkin, linfoma unicelular o linfoma maligno. Start studying linfoma de hodgkin. Il linfoma di hodgkin è un tumore maligno (o cancro), del tessuto linfatico che si trova nei linfonodi, la milza, fegato, ossa e testicoli.

Share on